技术服务

以创新推动产业发展,以实干满足市场需求

技术服务

Tulp2抗体

产品介绍

详情介绍

Product Code

Tulp2

Storage

Upon receipt, store at -20°C or -80°C.   Avoid repeated freeze.

Cat No.

HU-412002

Immunogen

Synthetic peptide directed towards   the N terminal region of mouse Tulp2

Raised In

Rabbit

Species Reactivity

Mouse

Tested Applications

WB, IF; Recommended dilution: WB:1:500-1:2000,   IF:1:50-1:200

Form

Liquid

Conjugate

Non-conjugated

Storage Buffer

Preservative: 0.03% Proclin 300

Constituents: 50% Glycerol, 0.01M PBS,   PH 7.4

Purification Method

>95%, Protein G purified

Isotype

IgG

Clonality

Polyclonal

Product Type

Polyclonal Antibody

Immunogen Species

Mouse

Research Area

Cell   Biology

Gene Names

Tulp2

Alternative name(s)

TUBL2;CT65 ;Cancer/Testis   Antigen 65 ;Tubby-Related Protein 2 

Background Information

TULP2 (TUB Like Protein 2) is a   Protein Coding gene. Diseases associated with TULP2 include Retinitis   Pigmentosa 14 and Retinal Degeneration. Gene Ontology (GO) annotations   related to this gene include protein-containing complex binding. An important   paralog of this gene is TUB.

Observed molecular weight

55-72kDa








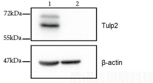
Tulp2抗体(图1)


Tulp2抗体(图2)

Western blot analysis of Tulp2 expression in WT (1) and Tulp2-KO (2) mouse testis tissue extract. Note lack of reactivity in lane 2.


Immunofluorescence (IF) staining of formalin- fixed, paraffin-embedded mouse testis tissue showing cytoplasmic staining of germ cells. Heat mediated antigen retrieval with 1mM EDTA buffer (pH 8.0).


027-87101498

地址:武汉市光谷大道58号光谷总部国际1栋1503室
电话: 13886073426
邮箱:service@xcskj.cn

扫一扫关注我们

Copyright © 2023 武汉鑫晟盛科技有限公司 备案号:鄂ICP备2023013773号

技术支持:捷瑞数字