技术服务

以创新推动产业发展,以实干满足市场需求

HE染色服务

产品介绍

详情介绍

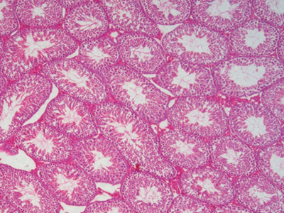
  苏木精 - 伊红染色法 ( hematoxylin-eosin staining ) ,简称HE染色法 ,石蜡切片技术里常用的染色法之一 。苏木精染液为碱性 ,主要使细胞核内的染色质与胞质内的核酸着紫蓝色 ;伊红为酸性染料 ,主要使细胞质和细胞外基质中的成分着红色 。HE染色法是组织学、胚胎学、病理学教学与科研中最基本、使用最广泛的技术方法。

样图:

rr_副本.png

                                                HE of paraffin-embedded mouse skin tissue


yy_副本.png

                                                 HE staining of mouse testis paraffin-section



027-87101498

地址:武汉市光谷大道58号光谷总部国际1栋1503室
电话: 13886073426
邮箱:service@xcskj.cn

扫一扫关注我们

Copyright © 2023 武汉鑫晟盛科技有限公司 备案号:鄂ICP备2023013773号

技术支持:捷瑞数字